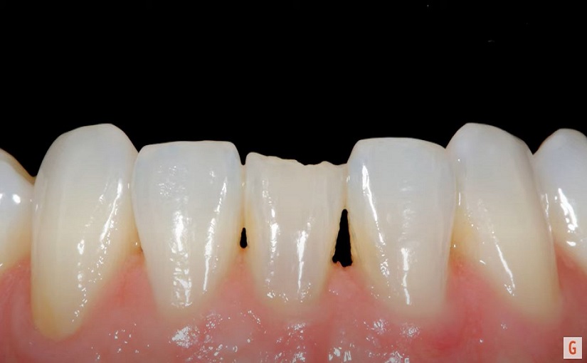
Clinical Case Using the NEW Fusion Anterior Matrix System with Dr. JD Corey 07/04/2021 By: Dental Education Hub On Demand, Videos 0 Comment Dr. Corey shows 3 case photos and walks us through the restoration he did with using the anterior matrix system. He shows a double band technique when both sides of the tooth are being restored. View Here Tags: Garrison Share: